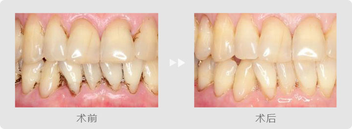
通过超声波的高频震荡作用,去除牙齿上的牙结石、烟渍和茶斑,帮助治疗牙周炎等口腔疾病,时间短,治疗方便,不会伤害到口腔健康。

先进设备 温柔洁牙

严谨细致 有保障

洁牙的注意事项

洁牙的适应人群

洁牙后注意事项

消毒我们比你更重视